
随着祖国经济发展,
老百姓生活条件好了,
温饱早已不是社会问题
很多人反而因为热量摄入过多,
导致肥胖,
导致众多健康问题,如脂肪肝,
成了大家非常常见的困扰
下面看一则数据:
据统计:全国各类肝病患者4亿人,
其中:
非酒精性脂肪性肝病2亿例,占50.0%;
酒精性肝病6000万例,占15.0%;
慢性乙肝病毒感染者8600万例,占23.5%;
慢性丙肝病毒感染者1000万例,占2.5%;
其他肝病约3700万例,占9.5%。
有人说,脂肪肝没有关系,非常常见!事实上真是这样的吗?
今天咱们就来聊聊这个常见病——
脂肪肝

问
胖人得脂肪肝比较容易理解,为啥生活中有的瘦人也被医生诊断得了脂肪肝?

其实不止是胖子容易得脂肪肝,下面列举的高风险因素都是常见病因:

从脂肪肝竟然可以发展到
肝硬化和肝癌的转变,
一听是不是感觉吓了一跳?
其实当中的转变只有3步!

脂肪肝常常伴随其他代谢异常,若不及时干预,10至15年内就因为糖尿病、高血压病、血脂紊乱和痛风等代谢性疾病并发冠心病、脑卒中,甚至肝硬化和肝癌等,并且在肝硬化的情况下患者的预后很差。
仅有极为罕见的患者可能并发脂肪囊肿破裂,死于脂肪栓塞。

通俗地分——
若是单纯性脂肪肝:
多是因为热量摄入过高而代谢相对不足所致,此时若肝血清学生化指标及血糖、血脂等指标均正常范围,可以通过控制饮食和加强运动锻炼等方式,减轻脂肪肝程度或消除脂肪肝,因此,需定期随访观察,一般不需要另外服药或进行其他治疗。
若是发生了肝功能生化指标异常等,
可能就是已经发生了脂肪性肝炎,此时需要至专科医院寻求专科医生的诊疗指导和帮助。此时仅单独靠体育锻炼和摄入控制等已不足以解决问题,需在专业内科医生的指导下进行保肝降酶等治疗,同时需要对症治疗相关的其他病因学治疗。
此类脂肪性肝炎如若置之不理,长期的炎症会导致肝细胞变性、坏死,刺激肝脏内纤维组织增生,疾病进展就可能导致肝纤维化和肝硬化,甚至并发肝癌等。
一般常规检查包括:
腹部超声检查、血清学肝酶等指标测定。
【超声检查】
因其无放射性损创、质优价廉,可实时动态显示受检组织器官,可重复检查,孕产妇及孩童均适用,是在各级医院里均较普及的一种影像学检查方式之一。
常规腹部超声检查可以定性及半定量对脂肪肝的有无及程度进行大致判断分级,适合长期随访观察。


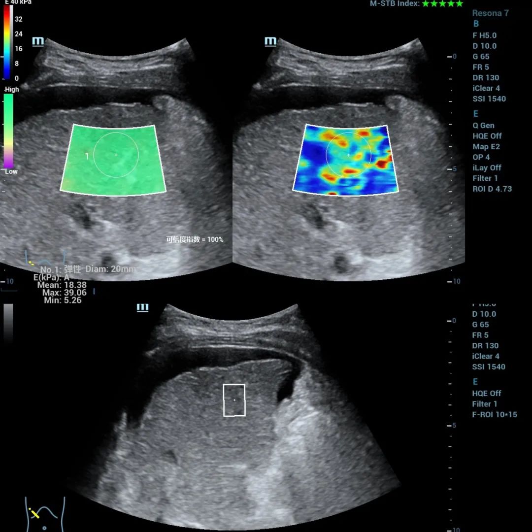
现在随着超声技术的发展,超声弹性的应用已经得到了临床普遍应用和认可,并被各大国际指南所推荐。
超声弹性技术可以对肝脏组织进行硬度测定,以协助排除有无肝硬化的存在,因其无创、可重复性好,已广泛应用于临床诊断和疾病随访等。
超声弹性技术解决方案

临床上应用瞬时弹性成像进行肝脏硬度测定的同时也可以通过对肝脏脂肪衰减系数的测定来定量反映肝脏脂肪含量。可谓一举两得!
对于没有相关高危因素的人群,
建议1年进行一次相关腹部超声和血清学肝酶等的检查以排除脂肪肝的存在。
对于合并其他高危因素的人群,
需要求助于专业肝病科医生,在专业指导下进行相关治疗及疾病随访观察等。

大多数脂肪肝患者在进行饮食控制和体育锻炼等成功减重后,脂肪肝程度均会有不同程度的下降和改善。
一些肝脏功能异常者肝脏血清学指标也会相应有所下降,再配合一些相关药物的应用等临床处理,大多可以得到及时治愈和控制。
因此,除了求助于专业医生进行专业诊疗指导外,患者做好个人体重管理:管住嘴、迈开腿,对于脂肪肝的恢复也是非常重要的。
重视脂肪肝,科学护肝
从每件小事做起!

|