

“我和你们一起拍个合照吧,一起见证你重生的时刻,恭喜你这周就可以出院了!”瑞金医院嘉定院区泌尿外科邵远主任对但女士查完房后说。“救命之恩,无以为报,有这么认真负责,医德高尚的医护团队为我们治疗真的万分感激!”但女士的姐姐对邵主任说道。
45岁的但女士来自四川省自贡市,因肾小球肾炎导致尿毒症,进行了长达14年的定期血透治疗。2022年末,她出现左侧腰腹部疼痛,并逐渐加重。当地医院CT检查发现,左侧上中腹部巨大实质性占位,直径超过12cm,治疗难度极大。怀着对生存的渴望和对瑞金医院的信任,但女士来到了我院泌尿外科邵远主任的专家门诊。
原来早在2018年,但女士检查出肺部结节,在胸外科陈中元主任的治疗下康复了,如今但女士再次来到了瑞金医院嘉定院区,因为她信任瑞金。
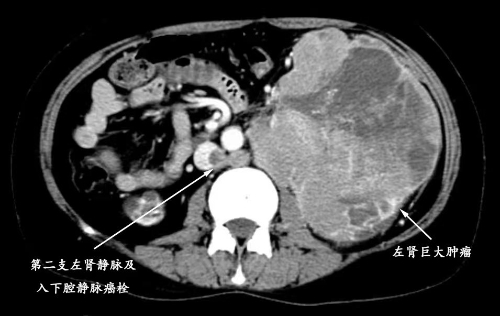
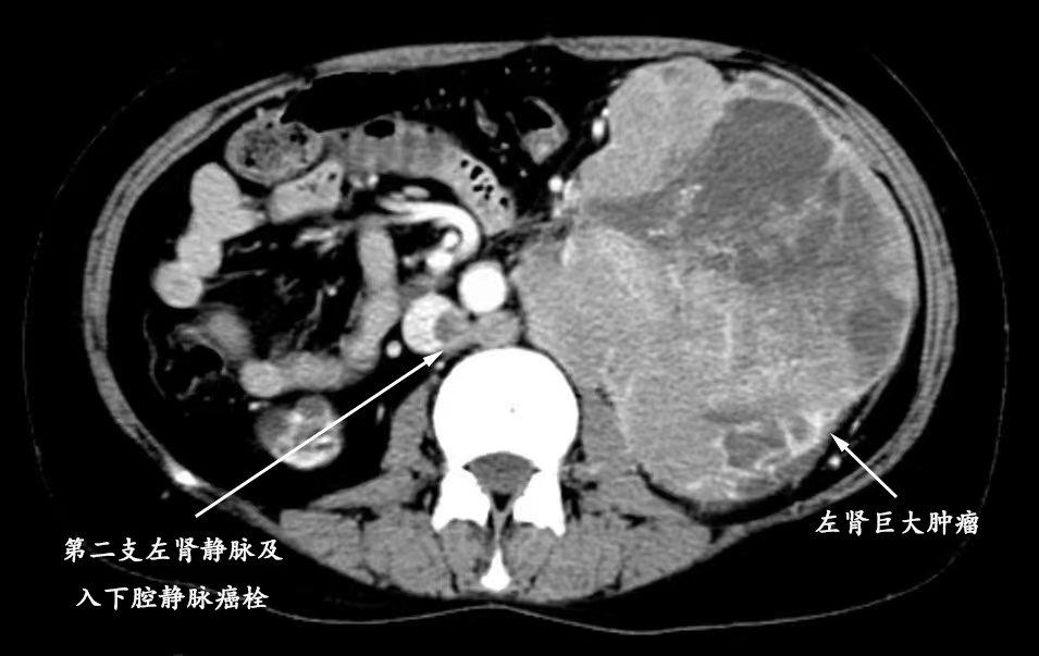
邵远主任仔细阅片后,决定将患者收治入我院嘉定院区泌尿外科病房进行术前评估,同时在肾内科协助下规律透析治疗。我院检查发现,但女士肿物起源于左侧肾脏,体积达11*12.8*11.3cm,几乎填充整个左侧腹部(达T4期),推挤脾胃及同侧肠管。不仅如此,患者有两支左肾静脉,其主干及下腔静脉内均存在长段癌栓(将近Mayo Ⅲ级),一旦癌栓脱落,后果不堪设想。
邵远主任为了患者的生命安全考虑,联合外院专家发起了全院大会诊,与麻醉科、肝胆外科、肾脏内科、介入科、放射科及重症医学科等专家讨论。尽管围手术期准备要求复杂严格,专家们一致认为患者现阶段仍有挑战高难度手术切除肿瘤与癌栓的条件,且机会转瞬即逝。
邵远主任遂与患者家属们进行了一次充分的沟通,家属表示即使手术风险再大,也坚决要求一试。于是,结合全院大会诊意见,邵远主任团队为患者制定了一份周详的方案,包括由介入科术前放置下腔静脉滤网及行左肾动脉栓塞、超声引导下肾脏肿瘤穿刺活检、适时移送肾脏内科血透治疗、联系输血科准备术中大量用血、联系手术室准备人工血管等。麻醉和泌尿外科共同商讨,因为肿瘤大、波及范围广,术中会面临大出血,而病人为肾功能衰竭,很难做到量出为入,因此必须做到周密的部署和万全的准备。输血科克服种种困难,专门为此储备十几个单位的血源。
穿刺病理报告最终明确:左肾大细胞神经内分泌癌。这是一种极为罕见且高度恶性的肿瘤,而手术切除是最主要的方法。此前文献报道病例均不及但女士的情况严重、复杂。疾病大敌当前,医患双方同心协力、背水一战。
手术日,在嘉定院区麻醉科董榕、王海滨麻醉团队全力以赴和手术室杨利英护士长亲自助阵下,邵远主任上台主刀。由于患者肿瘤巨大,新生血管丰富,下腔静脉癌栓长段,周围组织与血管质地脆弱,手术开始不久便险象环生。取栓过程中,下腔静脉滤网又造成了一定困难。切除左肾肿瘤后,瘤床渗血也相当严重,患者血压一度降至45/30mmHg,生命岌岌可危。邵远主任团队沉着应对,经过麻醉科的精准用药、平衡的容量填充和实时的监测 ,保证了手术过程中血压和心率的稳定,最大程度降低患者全身水肿的发生。最终将瘤体完整切除,癌栓顺利取出,下腔静脉再次严丝合缝,创面不复渗血。
在重症监护室平稳过度了数日后,但女士转回普通病房继续调理,精力渐复。她和爱人多次向邵远主任及其治疗团队表达了由衷的感谢并送上感谢信和锦旗。但女士的姐姐激动地说,我们一家都非常相信瑞金,所以我们选择瑞金,今后如果生病了,第一选择就是瑞金。您们很伟大,一切为了挽救患者吃苦受累,请您们一定要保重身体!
瑞金医院嘉定院区泌尿外科在肾癌合并下腔静脉癌栓手术、局部晚期肾癌新辅助治疗后手术、肾门肿瘤的肾部分切除术、多发肾癌的肾部分切除术、孤立肾肿瘤的肾部分切除术等复杂肾癌手术治疗方面已积累相当经验。依托瑞金医院多学科综合诊疗的实力,以及攻坚克难的精神,但女士的顺利康复也为肾脏大细胞神经内分泌癌这一罕见高度恶性肿瘤的诊疗积累了宝贵的经验,造福更多罕见病患者。
撰文丨潘隽玮 周雪健
|