光谱CT体部成像关键技术的建立及临床应用
编者按
瑞金医院内科奠基人邝安堃教授曾教导学生:“做学问,不要只做别人做过的事情。”是的,一切科学的进步与发展都离不开创新,医学更如是。百十年来,“勇于创新”成为了所有瑞金人的精神内核,他们坚持完善科研体系,坚持把创新成果写在病人的健康本上。今天起,我们将推出2023年度“瑞金医术”系列报道,揭秘这些前沿技术……
瑞金医院放射科团队基于新一代双层探测器光谱CT“同时、同源、同向”全新的能量成像模式,在严福华教授的率领下,依托强大的临床优势,开展了全新的能量CT成像研究,优化建立了光谱CT体部成像检查规范。光谱CT体部成像关键技术的建立,突破以往传统CT黑白灰图像的限制,“彩色显像”为疾病诊治提供了新手段,影像诊断精度不断提高。
头晕眼花病因难寻
49岁的金女士1年前外出钓鱼回家的路上突然出现头晕眼花,视野里物体变形。当地医院检查头颅MRI未见明显异常,因此没有进一步诊疗。但之后1年内,金女士间断出现数次头晕眼花,多于早上空腹时发生,进餐后缓解。再次到当地住院检查,考虑 “胰岛素瘤待排”,然而当地医院上腹部增强CT及MRI均未找到明确病灶。
金女士经过了解选择我院内分泌代谢科就诊,完善相关激素检查后,发现金女士低血糖时胰岛素、C肽均升高,存在内源性高胰岛素血症,首先考虑胰岛素瘤可能;在我院完善了胰腺增强磁共振后,仍未找到明确的责任病灶。多学科联合讨论中,放射科严福华主任提出可以进行光谱CT胰腺成像。
多参数光谱CT成像定位“真凶”
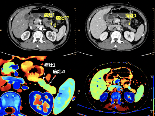
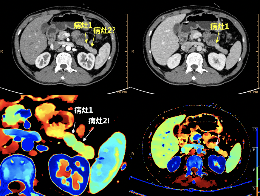
金女士经过CT扫描后,在常规CT图像中胰体部隐约可见的病灶,经过重建40keV虚拟单能量图像、碘密度图等多参数图像,能量CT多参数成像精确的定位并显示出胰腺内部确有“真凶”(图1)。随后金女士被转到了胰腺外科手术,进行了“胰体尾部切除术”,手术病理证实确实为胰岛素瘤。手术后金女士血糖、胰岛素恢复正常水平,从此脱离头晕眼花之苦。

(图1)
光谱CT彩色“新武器”

(图2)

(图3)
光谱CT通过空间上对等的上、下两层探测器,对穿过人体的X射线进行高、低能量分离采集,两套能量信息可以用来进行能量分析、物质识别与定量,可以重建生成虚拟单能量图像、碘密度图及有效原子序数图等多种参数图像。低能量段(<70 keV)的虚拟单能量能够明显提高含碘(增强CT使用的对比剂的主要成分)组织的CT值,可以提高胰岛素瘤病灶与胰腺实质背景的对比度,有利于病灶显示;碘密度图直接量化组织含碘浓度进行成像,可以通过叠加伪彩图像,清晰定位病灶。(图2、图3)
瑞金医院是国内最早配置了双层探测器光谱CT临床测试机的医院之一,在放射科严福华教授的率领下,团队依托强大的临床优势,开展了全新的能量CT成像研究,优化建立了光谱CT体部成像检查规范。
· 关注患者保护,基于低能量段虚拟单能量图像提高碘CT值的特性,开展低辐射、低对比剂注射的“双低”剂量成像,如肾动脉CTA;
· 开展光谱CT多参数成像神经内分泌肿瘤术前定位,胰腺神经内分泌肿瘤检出率由72.6%提高至92.3%;
· 开展光谱CT胰腺术前分期CTA扫描,优化胰腺肿瘤术前成像质量,协助胰腺肿瘤术前诊断与评估,提高胰腺肿瘤可切除性评估的准确性;
· 原创性采用光谱CT单能量图像结合减影技术优化了冠脉支架的显示,冠脉支架再狭窄评估特异度由66.7%提高至94.4%;
光谱CT体部成像关键技术的建立为疾病诊治提供了新手段,影像诊断的精度不断提高。
严福华教授团队撰写发表了光谱CT临床应用论著10余篇,为《双层探测器光谱CT临床应用中国专家共识(第一版)》的第一执笔人,《能量CT临床应用中国专家共识》的共同通讯作者,引领全国光谱CT成像研究与应用,建立技术规范,向全国同道传播瑞金经验。
撰文丨杨琰昭
|