两年前,怀揣着对医学的热爱,他前来瑞金医院进修学习,满载而归返回甘肃担任普外科医生;两年后,他再次来到这里,带着不安和彷徨,更有对瑞金的信任,期待运动医学中心为他的医学梦想保驾护航。
帮助外科医生重新拿起手术刀
小蔡是一名甘肃的普外科医生,平时工作认真敬业,离开工作岗位和手术台,他闲暇之余喜欢踢足球。没想到,2023年11月不慎在一次踢球过程中摔倒,肘关节受伤。最初在甘肃当地就诊,X线平片让他觉得对位还能接受,但是打完石膏后进行CT扫描,发现伤情比想象中更为严重——肱骨远端粉碎性骨折。
对外科医生而言,手就像生命一样宝贵。一旦其肘关节出现僵硬或残留不稳定,他将无法完成很多日常操作,更别提重回手术台、完成精细的腹腔镜手术。由于当地的医疗水平有限,小蔡很快想到曾经的老师和同事,就将自己的病史和影像资料传递给了瑞金医院骨科张胤医生。张胤医生的初步判断非常明确:肱骨远端粉碎性骨折的AO分型为1-3-B1型,冠状面暴力致外翻不稳定,需要手术治疗。瑞金医院运动医学中心主任王蕾仔细阅片和分析:肱骨滑车的外侧关节面有一块较大的压缩区域,这就引起了肱尺关节的不匹配。这块压缩区域相对独立,没有关节囊与其相连接,因此无法通过手法复位。更棘手的是,小蔡的肱骨小头粉碎骨折,结合肱骨滑车外侧关节面塌陷,导致他的肘关节外翻稳定结构受损,如不能及时手术恢复正常结构、早期功能锻炼,未来可能出现肘关节僵硬、慢性不稳定,乃至创伤性关节炎等并发症。他需要立即手术。

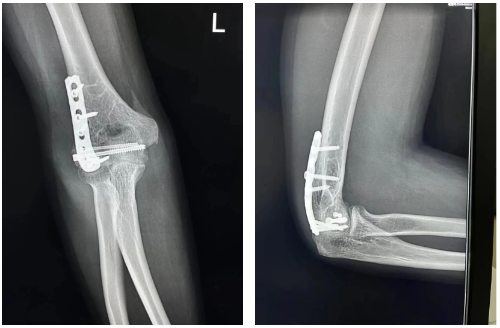
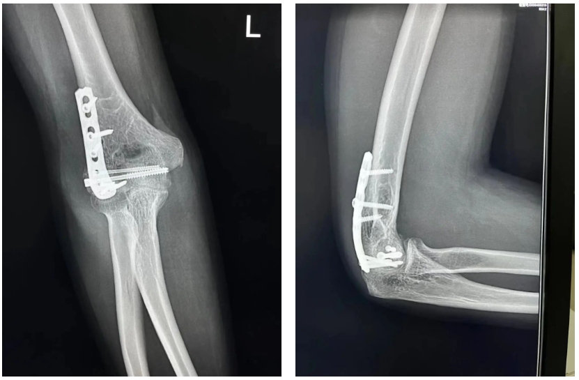
小蔡没有丝毫犹豫,当即订好机票,飞来上海。经过一系列充分的术前检查,在麻醉科姬梅副主任医师密切配合下,小蔡接受了肘关节切开复位植骨钢板内固定手术。术中,王蕾主任医师巧妙地利用肱骨小头的骨折线,做出了类似肱骨外髁截骨的入路,清晰暴露外侧肱尺关节面,翘剥复位关节面骨块,并植骨复位固定,既完美复位、坚强固定,又避免了创伤扩大。

术后患者积极康复治疗
为了让小蔡能尽快重拾手术刀,术后王蕾主任团队联合康复科谢青主任团队,制定了详细的康复计划:在铰链式支具的保护下,小蔡在术后第一天就开始进行肘关节屈伸锻炼和前臂旋转锻炼。如今,术后三个月不到,小蔡医生又重新回到了工作岗位。“谢谢瑞金医院,谢谢王蕾主任团队,帮我延续医学梦想,让我重新回到手术台救死扶伤。”小蔡激动地说。

骨折愈合摄片
肘关节损伤了怎么办?
患者小蔡的肱骨损伤比较特殊,通常被称为“肱骨远端冠状剪切暴力骨折”(Coronal shear fractures,Dubberley 3B)。其损伤部位是肱骨滑车的外侧壁,同样影响了肱尺关节(一级稳定)稳定性,再结合肱骨小头粉碎骨折,肱桡关节(二级稳定)失去支撑。这种骨折导致小蔡的肘关节出现了外翻极度不稳定,这类病例通常都需要通过手术来修复稳定结构。那么,遇到肘关节损伤,比如肘关节骨折与脱位、肘关节僵硬等伤痛,该怎么办呢?
1、肘关节的骨折与脱位
肘关节由肱桡、肱尺、尺桡上关节三个关节共同组成,他们被包绕在同一个关节囊内。它是人体最容易发生脱位的关节之一,其中大部分脱位都合并有骨折。在治疗过程中,维持肘关节的稳定尤为关键。肘关节的稳定性依赖于骨性结构、周围关节囊及韧带提供的静力性稳定和关节周围肌肉提供的动力性稳定。
肘关节一级稳定结构由静力性稳定结构组成,包括肱尺关节、外侧副韧带和内侧副韧带组成,二级稳定结构包括静力稳定结构的肱桡关节、肘关节囊与动力稳定结构的屈肌总腱和伸肌总腱。在一级结构受损时,健全的二级结构可以起到一定的代偿作用。此时就需要手术,重建肘关节稳定性,避免慢性不稳定的发生。
临床最常见的肘关节严重不稳定病例为“恐怖三联征”,即:尺骨冠突骨折、桡骨小头骨折合并肘关节后脱位。在这样的病例中,患者通常存在肱尺关节(一级稳定)合并肱桡关节、外侧副韧带尺骨部(二级稳定结构)损伤,不稳定位于后外侧。
2、肘关节僵硬
肘关节是全身最为契合限制性滑膜关节之一,不仅拥有一定的骨性稳定,且可以提供相当的活动度。但它也是全身最容易僵硬的关节之一。主要分为关节内和关节外两种因素,绝大多数患者属于混合性。肘关节僵硬的原因主要有以下:
(1)可能来自于关节内骨结构的异常,其中,冠状突、肱桡关节以及鹰嘴窝的结构异常是肘关节僵硬最常见的原因。
(2)肘关节关节外软组织挛缩也是导致肘关节僵硬发生的因素之一。但其病因繁多且未完全明确。创伤后制动时间过长是肘关节僵硬的促进因素。
(3)关节面不协调也会导致肘关节僵硬。尤其在桡骨小头愈合不良及肱骨小头及滑车愈合不良的清创下发生。
如果一味的保守治疗,追求石膏固定到骨折愈合,很可能会不幸出现肘关节僵硬。建议肘关节创伤制动一般不超过3周,如有结构异常影响关节稳定或关节面匹配应予以纠正,早期进行功能锻炼。
运动医学中心
门诊信息
王蕾 主任医师
特需门诊:周二上午
专家门诊:周四全天
庄澄宇 副主任医师
专家门诊:周二全天
虞佩 副主任医师
专家门诊:周二全天
关节疾病专病门诊:周二下午
运动医学专病门诊:周三上午
半月板专病门诊:周四上午
骨与关节创伤专病门诊:周四上午
运动损伤专病门诊:周四下午、周五下午
肩关节病重点专科门诊:周五上午